Scanner CT 32 coupes rentable Scanner CT 32 coupes rentable

Technologie

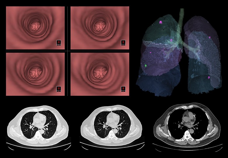
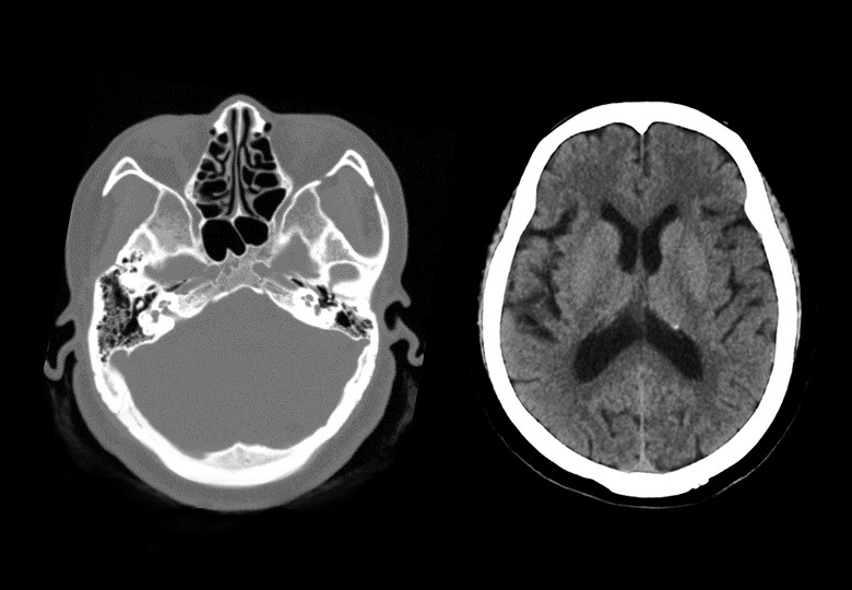
Album d'images cliniques

  • Abdomen
  • Os
  • Tête
  • Poumon
  • Vaisseau